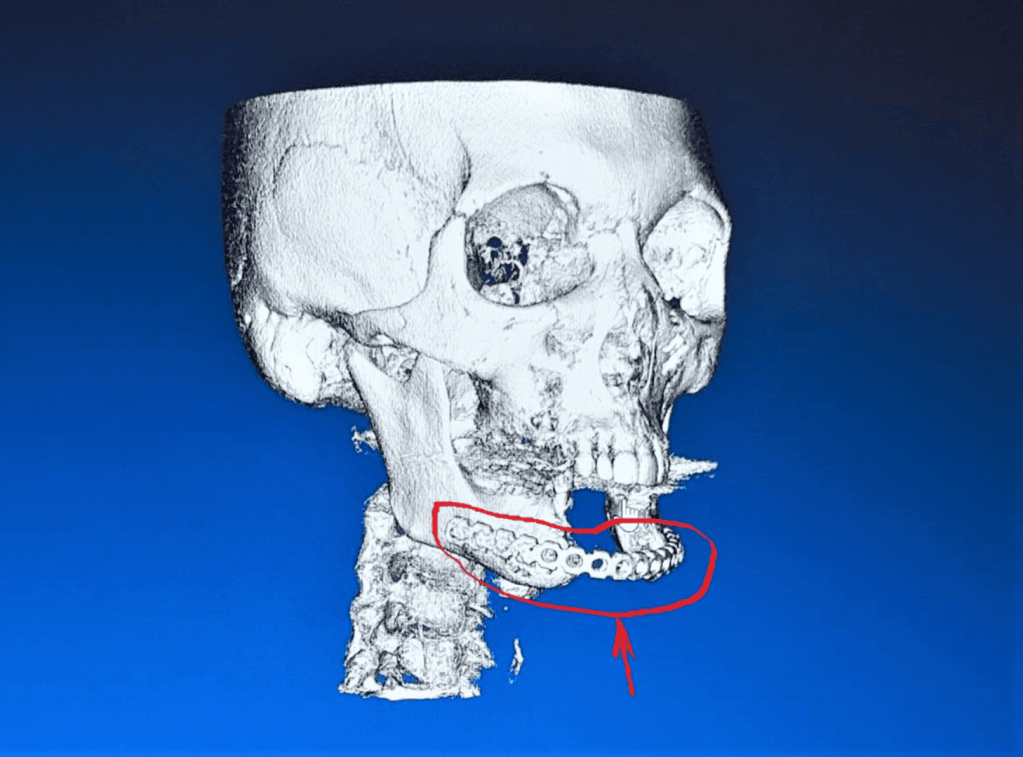
По информации пресс-службы краевой клинической больницы Красноярска, около двух лет назад женщине удалили доброкачественную опухоль вместе с частью лицевого скелета, формирующего подбородок.

«Это серьезно ухудшило качество жизни – женщину беспокоили эстетический дефект, нарушение речи, пищу она могла принимать только жидкую или протертую. Чтобы восстановить челюсть, понадобилось взять ткань малоберцовой кости. Операция прошла успешно», – рассказали медики.
Хирурги предварительно создали 3Д-модель челюсти пациентки и по этим размерам сформировали трансплантат из малоберцовой кости.

По словам специалистов, сложность заключалась в том, что костный аутоимплантат был пересажен вместе с питающим кровеносным сосудом. Это было крайне важно для приживления и дальнейшей жизнеспособности пересаженной ткани.
При этом малоберцовая кость выбрана не случайно. Она имеет толстый слой, в который в последующем можно установить имплантаты для протезирования зубов.
Ранее в Центральной городской клинической больнице Алматы впервые провели операции на позвоночнике по методике OLIF. Данный метод позволяет подобраться к позвоночнику через небольшой разрез, сохраняя невредимыми мышцы и связки.
Фото: пресс-служба краевой клинической больницы Красноярска

